Thaiclinic.com

Thaiclinic Logo bannermedbiblewelcomeclr.gif (19991 bytes)
Main PageWhat's NewMedical BibleClinic OnlineHealth ConferenceQuestion-MallThaiclinic Newsfoldspaceup.gif (292 bytes)Contact Me,Dr.OU

โรคเลือดจางธาลัสซีเมียคืออะไร
Thalassemia , anemia , Hematology , hemato , genetic , gene , blood , medicine , thai ,red blood cell

 

        โรคเลือดจางธาลัสซีเมียเป็นโรคหนึ่งที่เกิดจากการที่ร่างกายมีหน่วยพันธุกรรมหรือยีนผิดปกติ สำหรับการสร้างส่วนของเม็ดเลือดแดง ทำให้เม็ดเลือดแดงแตกง่าย โรคนี้เป็นได้ทั้งผู้หญิงและผู้ชาย พ่อและแม่จะเป็นผู้ถ่ายทอดยีนผิดปกตินี้ไปยังลูกพบผู้ป่วยเป็นโรคนี้ได้ทั่วโลก ในประเทศไทย มีผู้ป่วยโรคเลือดจางธาลัสซีเมียประมาณร้อยละ 1 ของประชากรและพบผู้ที่ยีนแฝง(พาหะ) ประมาณร้อยละ 40 ของประชากร

Normal Blood smear
เม็ดเลือดแดงของคนปกติ

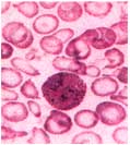
Thalassemia
เม็ดเลือดแดงของผู้ป่วยธาลัสซีเมีย

ผู้ที่เป็นพาหะหรือมียีนแฝงธาลัสซีเมียเป็นอย่างไร

ผู้ที่เป็นพาหะหรือผู้ที่มียีนแฝงของธาลัสซีเมียอยู่ในตัว จะเป็นบุคคลที่มีสุขภาพดีเหมือนคนทั่วไป แต่สามารถถ่ายทอดยีนผิดปกติไปยังลูกได้ ตามแบบแผนการถ่ายทอดของยีน

ทำอย่างไรเมื่อพบว่าคุณเป็นพาหะของโรค

เมื่อคุณตรวจเลือดพบว่ามียีนแฝงธาลัสซีเมีย ก็ไม่ได้หมายความว่า คุณจะแต่งงานไม่ได้ ก่อนจะแต่งงานชวนคู่ของคุณไปตรวจเลือดหายีนธาลัสซีเมีย ปรึกษาและรับคำแนะนำจากแพทย์ เพื่อหลีกเลี่ยงโอกาสเสี่ยงที่จะมีลูกเป็นโรคเลือดจางธาลัสซีเมีย

แต่ถ้าคุณกำลังตั้งครรภ์และตรวจเลือดพบว่ามียีนธาลัสซีเมีย ควรรีบปรึกษาแพทย์ เพื่อแพทย์จะได้ตรวจวินิจฉัยทารกในครรภ์ ก่อนคลอด เพื่อหลีกเลี่ยงการมีลูกเป็นเลือดจางธาลัสซีเมีย และวางแผนในการมีลูกคนต่อไป

เด็กที่เป็นโรคเลือดจางธาลัสซีเมีย จะมีอาการอย่างไร

ผู้ป่วย Thalassemia

เด็กที่เป็นโรคเลือดจางธาลัสซีเมีย จะมีอาการ ซีด ตาเหลือง ตัวเหลือง ตับโต ม้ามโต แคระแกรน หน้าตาอาจเปลี่ยนแปลง จมูกแบน ฟันบนยื่นและท้องป่อง ร่างกายเติบโตช้ากว่าปกติ กระดูกเปราะหักง่าย จะเจ็บป่วยบ่อยๆ ทำให้ขาดเรียนเป็นประจำ ทั้งยังเป็นภาระของครอบครัว เพราะจะต้องเสียเงินค่าดูแลรักษาพยาบาลไปอีกนาน เพราะโรคนี้รักษายาก
โรคเลือดจางธาลัสซีเมียแบ่งได้เป็นหลายชนิด
  • ชนิดรุนแรงมาก ทำให้ทารกตายตั้งแต่อยู่ในครรภ์

  • ชนิดที่ทำให้ผู้ป่วยซีดมากต้องได้รับเลือดประจำ

  • บางชนิดแทบไม่มีอาการผิดปกติ เพียงซีดเล็กน้อย

ลูกของคุณมีโอกาสเสี่ยงแค่ไหนต่อการเป็นโรคเลือดจางธาลัสซีเมีย


กรณีที่ 1

กรณีที่ 1 ถ้าคุณและคู่ของคุณเป็นพาหะหรือมียีนแฝงทั้ง 2 คนในการตั้งครรภ์แต่ละครั้ง ลูกของคุณมีโอกาส

 

  • เป็นโรคเลือดจางธาลัสซีเมีย ร้อยละ 25

  • มียีนแฝงร้อยละ 50

  • ปกติ ร้อยละ 25


กรณีที่ 2 ถ้าคุณและคู่ของคุณมียีนแฝงคนใดคนหนึ่ง ในการตั้งครรภ์แต่ละครั้ง ลูกของคุณมีโอกาส

  • มียีนแฝง ร้อยละ 50

  • ปกติ ร้อยละ 50


กรณีที่ 2



กรณีที่ 3

กรณีที่ 3 ถ้าคุณหรือคู่ของคุณ เป็นโรคเลือดจางธาลัสซีเมียคนใดคนหนึ่ง อีกคนปกติ ในการตั้งครรภ์ทุกครั้ง ลูกของคุณทุกคนจะมียีนแฝง หรือเท่ากับ ร้อยละ 100


กรณีที่ 4 ถ้าคุณหรือคู่ของคุณเป็นโรคเลือดจางธาลัสซีเมีย คนใดคนหนึ่งและอีกคนมียีนแฝง ในการตั้งครรภ์แต่ละครั้ง ลูกคุณมีโอกาส

  • เป็นโรคเลือดจางธาลัสซีเมีย ร้อยละ 50

  • มียีนแฝงร้อยละ 50


กรณีที่ 4

จะทราบอย่างไรว่า คนที่เราแต่งงานด้วยมียีนแฝงหรือไม่

              ผู้ที่มียีนแฝงของโรคเลือดจางธาลัสซีเมีย จะมีร่างกายแข็งแรงและมีสุขภาพดี เหมือนบุคคลทั่วไป ซึ่งมองภายนอก คุณจะไม่รู้เลยว่า บุคคลนั้นมียีนแฝงหรือไม่
              คุณอาจสืบประวัติครอบครัวดูว่ามีใครบ้างที่ที่เป็นโรคนี้ ถ้าพบว่า มีลูกคนใดคนหนึ่งเป็นโรคนี้ นั่นแสดงว่า พ่อ-แม่จะต้องมียีนแฝงทั้ง 2 คน  ถ้าคนที่คุณจะแต่งงานด้วยเป็นลูกของครอบครัวนี้ คนรักของคุณ อาจมียีนแฝงได้
            ดังนั้นมีทางเดียวที่คุณจะรู้ได้ คือ ชวนคู่รักของคุณไปตรวจเลือด เสียค่าตรวจเพียงเล็กน้อย ถ้าผลเลือดที่ตรวจ พบว่า คู่รักของคุณมียีนแฝงคุณยังมีทางเลือกที่จะ ไม่ให้ลูก เป็นโรคเลือดจาง
ธาลัสซีเมียได้  (อย่าลืมตรวจเลือดตัวเองด้วย)

ผู้มียีนแฝงจะแต่งงาน มีลูกได้หรือไม่

         แม้จะพบว่า คุณเป็นพาหะ ก็ไม่ได้หมายความว่า คุณจะแต่งงานไม่ได้ ก่อนวันแต่งงาน ชวนคู่ของคุณ ไปตรวจเลือดหายีนธาลัสซีเมีย ปรึกษาและรับคำแนะนำจากแพทย์ เพื่อหลีกเลี่ยงโอกาส ที่จะมีลูก เป็นโรคเลือดจางธาลัสซีเมีย
        เพราะผู้ที่มียีนแฝง สามารถถ่ายทอดโรคนี้ไปสู่ลูกได้ ดังนั้นคุณและคู่ของคุณ จึงควรวางแผน ก่อนมีลูก แพทย์จะเป็นผู้วินิจฉัยว่าควรมีลูกได้หรือไม่

เมื่อเป็นโรคเลือดจางธาลัสซีเมีย ควรจะปฏิบัติตัวอย่างไร

            แม้ว่าโรคนี้ยังรักษาให้หายขาดได้ยาก ผู้ที่เป็นโรคนี้ ไม่ควรตื่นตกใจ เพราะบางรายอาจมีอาการ ไม่รุนแรง การปฏิบัติตัวที่ถูกต้อง จะทำให้ผู้ป่วยมีชีวิตอยู่ได้ตามปกติ  ดังนั้นจึงควรปฏิบัติดังนี้

  • รับประทานผักสด ไข่ นม หรือ นมถั่วเหลืองมากๆ

  • ดื่มน้ำชาหลังอาหาร เพื่อลดการดูดซึมธาตุเหล็ก

  • ควรตรวจฟัน ทุก 6 เดือน เนื่องจากฟันผุง่าย

  • หลีกเลี่ยงการทำงานหนัก หรือ การเล่น รุนแรง

  • งดดื่มสุรา หรือ ของมึนเมา

  • ถ้ามีอาการปวดท้องที่บริเวณชายโครงขวาอย่างรุนแรง มีไข้และตาขาวมีสีเหลืองมากขึ้น ควรไปพบแพทย์

ผู้ป่วยโรคเลือดจางธาลัสซีเมีย ห้าม! กินยาบำรุงเลือดที่มีธาตุเหล็ก

 
ผู้ที่เป็นโรคเลือดจางธาลัสซีเมียมีโอกาสหายหรือไม่

ผู้ป่วยโรคนี้ที่ยังอายุน้อยและไม่มีโรคแทรกซ้อนที่รุนแรง ตับม้ามไม่โตมาก ถ้ามีพี่หรือน้อง ที่มีเม็ดเลือดขาวที่เข้ากันได้ ก็อาจจะพิจารณาการปลูกถ่ายไขกระดูกทำให้หายจากโรคนี้ได้

บทความจาก ศูนย์ส่งเสริมสุขภาพเขต 1 กรมอนามัยกระทรวงสาธารณสุข
โดย  พญ.นภาพรรณ วิริยะอุตสาหกุล  กุมารแพทย์

Main PageWhat's NewMedical BibleClinic OnlineHealth ConferenceQuestion-MallThaiclinic Newsfoldspacebottom.gif (372 bytes)Contact Me,Dr.OU

This web is created and designed by หมออู๋
2 November 2000

Copyright (c) 1998-2000, ThaiClinic.com. All Right Reserved.