การรักษามะเร็งด้วยคลื่นความถี่สูง
RADIOFREQUENCY ABLATION (RFA)
cancer
, liver ตับ ,
ลำไส้ใหญ่ , colon
, ผ่าตัด,
รังสีรักษา,
medbible
ปัจจุบันการรักษามะเร็งมีหลายวิธี เช่น การผ่าตัด
การฉายรังสี การฉายรังสีระบบใหม่ (Gamma Knife, Cyber knife,
etc.) การให้เคมีบำบัด (Chemotherapy)
การให้เคมีบำบัดผ่านทางสายสวนหลอดเลือดแดงร่วมกับการอุดหลอดเลือดที่ไปเลี้ยงก้อนมะเร็ง
(TOCE or Transarterial Oily Chemo Embolization)
การฉีดแอลกอฮอล์เข้าก้อนมะเร็งโดยตรง
และเทคนิคใหม่ที่กำลังเป็นที่สนใจของแพทย์ทั่วโลกคือ
การทำลายก้อนมะเร็งด้วยความร้อน (Thermal Ablation)
ซึ่งมีหลายเทคโนโลยี เช่น การใช้เลเซอร์ การใช้ไมโครเวฟ
การใช้คลื่นความถี่สูง
แต่เทคโนโลยีที่นิยมกันมากที่สุดในปัจจุบันคือ
การใช้คลื่นความถี่สูง (Radiofrequency)
|
การรักษามะเร็งด้วยคลื่นความถี่สูง |
|

|
วิธีการทำลายก้อนมะเร็งด้วยคลื่นความถี่สูง (Radiofrequency
Ablation) ทำได้โดยใช้เข็มแบบพิเศษ
(RF needle) ขนาดเท่ากับ ไส้ปากกาลูกลื่น
ความยาวประมาณ 15 เซนติเมตร
แทงผ่านผิวหนังเข้าไปในก้อนมะเร็งโดยใช้เครื่องอัลตราซาวด์หรือเครื่องเอกซเรย์คอมพิวเตอร์ช่วยนำทาง
ต่อวงจรเข้ากับเครื่องกำเนิดไฟฟ้า(generator)
และตัวผู้ป่วยเป็นส่วนหนึ่งของวงจรด้วยการแปะแผ่นสายดิน (ground
pad) ที่หน้าขาของผู้ป่วย
|
เมื่อปล่อยไฟฟ้ากระแสสลับจากเครื่องกำเนิดไฟฟ้า(generator)
ขนาด 50-200 วัตต์ ผ่านเข้าไปในเข็ม
ซึ่งส่วนปลายเข็มเป็นขั้วไฟฟ้า (Electrode)และใช้การเหนี่ยวนำไฟฟ้าจากเครื่อง
ทำให้เกิดคลื่นความถี่สูงประมาณ 375-500 KHz
จะทำให้โมเลกุลของเนื้อเยื่อรอบๆ
เข็มสั่นสะเทือนและเสียดสีกันจนเกิดความร้อน (Friction heat)
ซึ่งจะแผ่กระจายออกไปรอบๆจนครอบคลุมก้อนมะเร็งทั้งก้อน
จากการศึกษาพบว่าความร้อนที่มากกว่า
50 องศาเซลเซียสสามารถทำให้เซลตายได้
| เข็ม RF มีหลายแบบแล้วแต่การออกแบบของแต่ละบริษัท |

|
|

ภาพแสดงขณะทำ RFA
โดยใช้เครื่องอัลตราซาวด์ช่วยนำทางเพื่อแทงเข็มผ่านผิวหนังที่ชายโครงขวาของผู้ป่วย |

ภาพแสดงขนาดของแผลที่ชายโครงขวาหลังรับการรักษา |
|

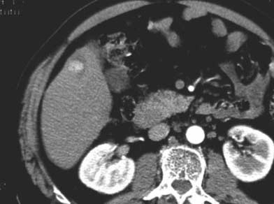
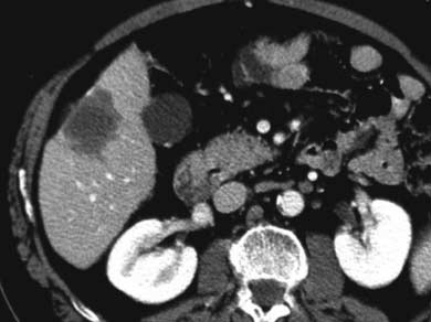
ก่อนทำ
RFA |

หลังทำ
RFA |
-
การผ่าตัดเป็นวิธีการรักษามะเร็งที่ดีที่สุด
- มะเร็งที่ใช้วิธี RFA
รักษา ได้แก่มะเร็งปฐมภูมิ (Hepatocellular Carcinoma)
และมะเร็งทุติยภูมิของตับบางชนิด เช่นมะเร็งที่แพร่กระจายมาจากมะเร็งลำไส้ใหญ่
(Colonic metastasis)
นอกจากนี้ในปัจจุบันยังเริ่มมีการนำวิธีนี้ไปประยุกต์ใช้ในการรักษามะเร็งของ
อวัยวะอื่น ๆ เช่น ปอด เป็นต้น
- รายงานการศึกษา พบว่าการทำ
RFA ได้ผลดีในก้อนมะเร็งที่มีขนาดไม่เกิน
5 cm.
-
ถ้าจำเป็นต้องทำในรายที่ก้อนมะเร็งโตกว่า 5 cm เล็กน้อย
อาจทำได้โดยแบ่งทำทีละส่วนของก้อนจนครอบคลุมก้อนได้ทั้งหมด
หรือ อาจทำร่วมกับวิธีการ
TOCE
- ส่วนการพยากรณ์โรค
และข้อจำกัดของการทำ RFA ขึ้นกับขนาด, จำนวน และ
ตำแหน่งของก้อน
แพทย์ผู้ทำการรักษาจะเป็นผู้ให้คำอธิบายแก่ผู้ป่วย
- การทำ RFA ทำได้หลายวิธี
เช่น
แทงเข็มผ่านผิวหนังโดยใช้เครื่องอัลตราซาวด์หรือเครื่องเอกซเรย์คอมพิวเตอร์ช่วยนำทาง
หรือทำการผ่าตัดเปิดผนังหน้าท้อง ทั้งนี้ขึ้นกับขนาด,
จำนวน และ ตำแหน่งของก้อน
รายละเอียดการรักษาขึ้นอยู่กับแพทย์ผู้ทำการรักษา
จะต้องพิจารณาเป็นรายๆ ไป
- การทำ RFA ส่วนใหญ่มักทำในห้องผ่าตัด
หรือห้องรังสีร่วมรักษา ซึ่งมีวิสัญญีแพทย์อยู่ด้วย
-
ผู้ป่วยทุกคนจะได้รับการเตรียมพร้อมก่อนทำ RFA
ได้แก่การเจาะเลือดตรวจค่าความแข็งตัวของเลือด และอื่นๆ
หากผู้ป่วยมีโรคประจำตัว
นอกจากนี้วิสัญญีแพทย์จะช่วยประเมินความพร้อมของผู้ป่วยด้วย
- การแทงเข็ม RF
แพทย์จะฉีดยาชาเฉพาะที่ให้ เพื่อลดความเจ็บปวด
แต่ขณะที่เกิดความร้อนอาจรู้สึกเจ็บได้
มากหรือน้อยแล้วแต่บุคคลและตำแหน่งของก้อน
วิสัญญีแพทย์จะให้ยาในระดับที่เหมาะสมที่จะทำให้ไม่รู้สึกเจ็บในขณะทำ
- ผลแทรกซ้อนที่อาจเกิดขึ้น
ขึ้นกับขนาด, จำนวน และ ตำแหน่งของก้อน ได้แก่ ไข้ ปวด
มักหายไปใน 1-2 วัน, มีอันตรายต่ออวัยวะข้างเคียง เช่น
ถุงน้ำดี กระบังลม ลำไส้ ฯลฯ ขึ้นกับตำแหน่งของก้อนมะเร็ง,
กรณีใช้รักษามะเร็งปอดอาจเกิดลมรั่วออกมาในช่องเยื่อหุ้มปอด
มีน้ำในช่องเยื่อหุ้มปอด, เกิดการติดเชื้อ เป็นฝี หรือ
มีการตกเลือด เป็นต้น
แพทย์ผู้ทำการรักษาจะเป็นผู้ให้คำอธิบายแก่ผู้ป่วย
- ภายหลังการทำ RFA
จะต้องติดตามผลการรักษาโดยการทำเอกซเรย์คอมพิวเตอร์ภายหลังทำ
RFA 1 เดือน ต่อไปทุก 3 เดือนจนครบ 1 ปี หลังจากนั้นทุก 6
เดือน บางรายจำเป็นต้องติดตามผลการรักษาโดยการทำเอ็มอาร์ไอ
(ราคาสูงกว่าเอกซเรย์คอมพิวเตอร์)
ถ้าพบว่ายังมีก้อนมะเร็งหลงเหลืออยู่ หรือกลับเป็นใหม่
แพทย์อาจเลือกใช้วิธีทำ RFA ซ้ำ หรือใช้วิธี
TOCE
หรือทั้งสองวิธีร่วมกัน หรือไม่สามารถทำการรักษาด้วย RFA
ซ้ำได้อีกเพราะมีข้อจำกัดใหม่เกิดขึ้น
ซึ่งจะพิจารณาเป็นรายๆไป แล้วแต่ความเหมาะสม
- มะเร็งที่ใช้วิธี RFA
รักษา ได้แก่มะเร็งปฐมภูมิ (Hepatocellular Carcinoma)
มักเกิดขึ้นในผู้ป่วยที่มีโรคตับอักเสบเรื้องรังและตับแข็งอยู่แล้ว
เพราะฉะนั้นหลังทำ RFA การติดตามผลการรักษาเป็นสิ่งจำเป็น
เพราะทุกเซลตับตำแหน่งใดก็ได้สามารถเกิดเปลี่ยนแปลงเป็นก้อนมะเร็งได้อีก
แต่หากเราตรวจพบเร็วเราสามารถทำRFA
ขณะก้อนยังเล็กก็จะได้ผลการรักษาที่ดี
และมะเร็งทุติยภูมิของตับบางชนิด
เช่นมะเร็งที่แพร่กระจายมาจากมะเร็งลำไส้ใหญ่ (Colonic
metastasis) หลังทำ RFA
การติดตามผลการรักษาก็เป็นสิ่งจำเป็น
เพราะการที่มีการแพร่กระจายมาที่ตับนั้นมาทางกระแสโลหิต
มีการกระจายที่เรายังมองไม่เห็นด้วยภาพเอกซเรย์
(microscopic metastasis) การทำ RFA
จึงต้องทำร่วมกับการให้ยาเคมีบำบัดทางเส้นเลือดดำ
และสามารถทำซ้ำเมื่อเราติดตามผู้ป่วยแล้วเห็นก้อนขึ้นมาใหม่
แพทย์ที่สามารถทำ RFA
ได้ในประเทศไทย ได้แก่ รังสีแพทย์(รังสีร่วมรักษา)
ซึ่งมีจำนวนน้อยมาก
ส่วนใหญ่ทำงานในโรงเรียนแพทย์ ได้แก่โรงพยาบาลจุฬาลงกรณ์,
โรงพยาบาลศิริราช, โรงพยาบาลรามาธิบดี, โรงพยาบาลตำรวจ,
โรงพยาบาลพระมงกุฎฯ, สถาบันมะเร็ง, โรงพยาบาลภูมิพล,
โรงพยาบาลมหาวิทยาลัยสงขลานครินทร์,
โรงพยาบาลธรรมศาสตร์รังสิต,
โรงพยาบาลเอกชนขนาดใหญ่ในกรุงเทพมหานคร
และศัลยแพทย์บางท่านที่สถาบันมะเร็ง
โดยเฉพาะรังสีแพทย์จะรับปรึกษาจากแพทย์ผู้เชี่ยวชาญโรคทางเดินอาหารและตับ
หรือแพทย์ผู้เชี่ยวชาญโรคมะเร็ง แล้วดูแลผู้ป่วยร่วมกัน
ดังนั้นผู้ป่วยสามารถตรวจสอบข้อมูลแพทย์และการเข้ารับการรักษาได้ที่เวบไซต์ของสมาคมรังสีวิทยาหลอดเลือดและรังสีร่วมรักษาแห่งประเทศไทย
www.thaivir.org หรือ e-mail address
:
chanyabh@yahoo.co.th
การรักษามะเร็งตับได้หลายวิธี การผ่าตัดคือวิธีที่ดีที่สุด
หากมีภาวะใดที่ผู้ป่วยเข้ารับการผ่าตัดไม่ได้
ก็มีการรักษาทางเลือกอื่นดังกล่าวข้างต้น
แต่ต้องพิจารณาปัจจัยหลายอย่างร่วมกัน
เช่นชนิดเซลของมะเร็งนั้น ขนาดและตำแหน่งของก้อน
และต้องไม่มีการกระจายไปที่อื่นนอกเหนือจากตับ
เช่นถ้ามีการกระจายไปที่กระดูก สมอง
แล้วการรักษาด้วยวิธีทางรังสีร่วมรักษาจะไม่เปลี่ยนแปลงพยากรณ์โรคของผู้ป่วยคนนั้น
โดย
พ.ต.ท.พญ. ชัญญา ภมรศิริ
รังสีแพทย์
|