Thaiclinic.com

Thaiclinic Logo bannermedbiblewelcomeclr.gif (19991 bytes)
Main PageWhat's NewMedical BibleClinic OnlineHealth ConferenceQuestion-MallThaiclinic Newsfoldspaceup.gif (292 bytes)Contact Me,Dr.OU

เนื้องอกกระดูก
cancer , bone tumor , Orthopedics ,ortho , leg ,pain ,x-ray malignant ,surgery

 

เนื้องอกกระดูก
คำว่า เนื้องอกหมายถึง กลุ่มของเซลล์ที่มีการเจริญเติบโตผิดปกติ
แบ่งเป็น ชนิดไม่ร้าย (Benign tumor) ชนิดร้าย หรือ มะเร็ง (Malignant tumor หรือ Cancer ) ซึ่งมีลักษณะเฉพาะตัว คือ สามารถคุกคามเนื้อเยื่อดีรอบๆข้างเคียง และสามารถแพร่กระจายไปตามหลอดเลือด หรือ ระบบน้ำเหลืองได้ 
เราแบ่งชนิดเนื้องอกตามเนื้อเยื่อต้นกำเนิดว่ามาจากที่ไหน 

 

 

เนื้องอกกระดูก แบ่งออกเป็น
  • เนื้องอกปฐมภูมิ เนื้อเยื่อต้นกำเนิดมาจากระบบกระดูก และ กล้ามเนื้อ
  • เนื้องอกทุติยภูมิ เนื้อเยื่อต้นกำเนิดมาจากเนื้อเยื่อชนิดอื่น แต่มาเกิดเนื้องอก ในกระดูกและกล้ามเนื้อ เช่น มะเร็งจากอวัยวะต่างแพร่กระจายมาที่กระดูก เช่น มะเร็ง ปอด ต่อมธัยรอยด์ เต้านม ต่อมลูกหมาก เป็นต้น


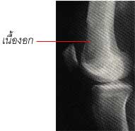
ภาพแสดงมะเร็งที่กระดูก

อุบัติการณ์

การเกิดเนื้องอกกระดูก พบได้น้อย ประมาณ 0.34% ของเนื้องอกในร่างกายทั้งหมด ในจำนวนนี้ 75% เป็นเนื้องอกชนิดปฐมภูมิ

สาเหตุ 

๑. กรรมพันธุ์ พบว่า ยีนบางตำแหน่งสามารถถ่ายทอดการเกิดเนื้องอกกระดูกบางชนิดได้
๒. การได้รับผลกระทบทางกายภาพ เช่น สารเคมีก่อมะเร็งบางตัว การได้รับรังสี 
๓. ไวรัสก่อมะเร็งบางชนิด ซึ่งอยู่ในระหว่างทำการศึกษาวิจัย

การแบ่งชนิดของเนื้องอกทางระบบกระดูกและกล้ามเนื้อ ของ องค์การอนามัยโลก แบ่งเป็น

  • Bone forming tumor เนื้องอกที่เกิดจากเนื้อเยื่อกระดูก 
  • Cartilage forming tumor เนื้องอกที่มาจากเนื้อเยื่อกระดูกอ่อน
  • Giant cell tumor เนื้องอกที่มาจาก Giant cell หรือ Osteoclast เป็น cell สลายกระดูก
  • Round cell tumor เนื้องอกที่มาจาก cell ไขกระดูก 
  • Vascular tumor เนื้องอกที่มาจากเนื้อเยื่อหลอดเลือด
  • Other connective tissue tumors เนื้องอกที่มาจากเนื้อเยื่อเกี่ยวพันอื่นๆ
  • Other tumors ( nervous tissue , Adamantinoma ) จากเนื้อเยื่อประสาท
  • Tumor like lesions เช่นพวก cyst ต่างๆ
อาการและสิ่งตรวจพบ

อาการปวดและมีก้อนเป็นอาการหลักที่นำมาพบแพทย์
ต้องดูตำแหน่งที่ปวด และ ตำแหน่งก้อน อาจจะมีประวัติได้รับอุบัติเหตุเล็กน้อย และบวมขึ้นไม่ยุบ อาการปวดไม่สัมพันธ์กับการทำงาน อาจจะมีอาการปวดตอนกลางคืนได้
อาจจะพบว่ากระดูกหักหลังได้รับภยันตรายเพียงเล็กน้อย Pathological fracture
อาการทางอ้อมของระบบอื่นๆที่มีผลมาจากตัวเนื้องอก เช่น ระดับแคลเซียมในเลือดสูง ระดับน้ำตาลในเลือดต่ำ อาการผอมแห้ง น้ำหนักลด อาการไข้

การให้การวินิจฉัย

  • ประวัติและตรวจร่างกาย
  • การถ่ายภาพ Xray 
  • การตรวจเลือด
  • การตรวจพิเศษอื่นๆ เช่น Xray computer การทำ scan กระดูกทั้งร่างกาย
  • การตรวจคลื่นแม่เหล็ก การฉีดสีหลอดเลือดแดง 
  • การวินิจฉัยสุดท้าย คือ การตรวจชิ้นเนื้อ เพื่อดูลักษณะของเนื้องอก เพื่อวางแผนการรักษา

การรักษา 

การผ่าตัดรักษาเป็นหลักสำคัญ
มีการรักษาเสริม เช่น รังสีรักษา และการให้ยาฆ่ามะเร็ง Chemotherapy 

การผ่าตัดจะขึ้นกับลักษณะของเนื้องอก ตำแหน่ง 
อาจจะทำแค่ผ่าเอาตัวเนื้องอกออก หรืออาจจะต้องตัดเนื้อดีบางส่วนออก หรือ อาจจะต้องทำการตัดอวัยวะบางส่วนออกไปในรายที่มะเร็งนั้นๆมีความรุนแรงสูง ซึ่งปัจจุบันจะทำน้อยลง

นอกจากนี้ยังมีการผ่าตัดที่ช่วยรักษาแขนขาไว้โดยที่ไม่ต้องตัดออก โดยใช้ โลหะดามกระดูก หรือ ข้อเทียม หรือ ใช้กระดูกจากธนาคารกระดูกมาเสริมกระดูกส่วนที่เป็นเนื้องอกที่ถูกผ่าตัดออกไป

โดย  นพ.มนตรี สิริไพบูลย์กิจ  ศัลยแพทย์กระดูกและข้อ

Main PageWhat's NewMedical BibleClinic OnlineHealth ConferenceQuestion-MallThaiclinic Newsfoldspacebottom.gif (372 bytes)Contact Me,Dr.OU

This web is created and designed by หมออู๋
20 November 2000

Copyright (c) 1998-2000, ThaiClinic.com. All Right Reserved.